Русский
Лариджани считает маловероятным обеспечение безопасности в Ормузском заливе в текущей ситуации Путин: Переключить поставки ближневосточной нефти без Ормузского пролива нельзя Экс-форвард сборной Армении Юра Мовсисян выпустил автобиографию Легендарная «Великолепная семерка» возвращается на экраны спустя 60 лет с Мэттом Диллоном в главной роли Премьер-министр Армении Никол Пашинян выступит в парламенте в Страсбурге Удары США и Израиля по Ирану: главные события на Ближнем Востоке к утру 9 марта Саудовская Аравия предупредила Иран о последствиях нападений на страны Персидского залива СМИ: Новая партия зерна из РФ прибудет в Армению транзитом через Азербайджан и Грузию Сердечно поздравляю вас с 8 Марта — Международным женским днём. Зангезурского медно-молибденового комбината CNN: Трамп заявил, что его не беспокоит, станет ли Иран демократическим государством Катар предупредил о мировом кризисе и росте нефти до $150 Стрельба на проспекте Баграмяна Еревана: Услышали звуки, выглянули в окно – никого не увидели 

В МЦ «Астхик» сотрудничестве с благотворительным фондом «Вива» внедряют новый метод удаления аденом гипофиза

Общество

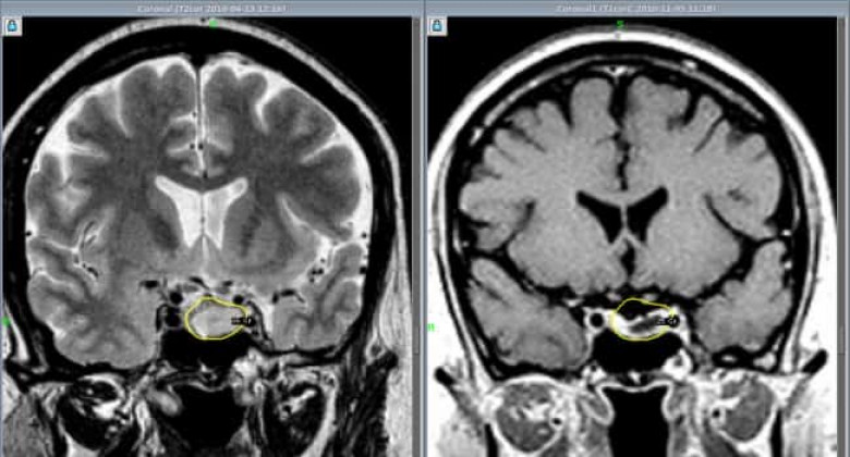
Аденома гипофиза – это доброкачественное новообразование, которое может крайне негативно сказываться на качестве жизни, вызывая нарушения со стороны эндокринной системы, а также нарушения зрения.

До недавних пор такие новообразования в МЦ «Астхик» удаляли с применением хирургического микроскопа. Теперь в медцентре внедряют и другой метод удаления аденом гипофиза – с помощью эндоскопа. Этот метод до недавних пор в Армении не применялся, и обучать ему специалистов в рамках одного из проектов благотворительного фонда «Вива» будет известный нейрохирург Вилен Азизян (Россия). В медицинском центре «Астхик» он уже провел три операции по удалению аденом гипофиза. Ассистировали ему армянские специалисты, которые в дальнейшем научатся проводить такие операции самостоятельно.

Аветис Киракосян, руководитель отделения нейрохирургии МЦ «Астхик», рассказал журналистам о том, что для внедрения эндоскопического метода удаления опухолей гипофиза был выбран медцентр «Астхик», так как материально-техническая база центра соответствует всем требованиям к проведению этих операций. Специалист уверен, что если в центре будут применяться оба метода, это поможет достигать более значительных результатов.

«В зарубежных медицинских центрах, где я проходил переподготовку, совмещают микроскопический и эндоскопический методы. После работы микроскопом проводят ревизию операционной области с помощью эндоскопа – без лишних разрезов через нос пациента вводят эндоскоп с камерой, осматривают область, иногда можно бывает обнаружить небольшие куски, которые остались вне поля зрения микроскопа, а эндоскоп может обеспечить более широкое поле зрения», - объяснил специалист.

По его словам, эндоскопическое удаление аденом гипофиза считается менее травматичным и менее инвазивным, чем микроскопическое удаление. Так или иначе, некоторым пациентам может потребоваться один из методов, некоторым – сразу оба, поэтому будет большим плюсом, если хирург будет одинаково хорошо владеть обоими методами.

Это далеко не первый проект, проводимый в Армении благотворительным фондом «Вива» (Врачи и волонтеры Армении). Татьяна Оганесян, председатель фонда, рассказала журналистам, что фонд был основан в 2016 году, с целью оказать помощь Арцаху и регионам Армении.

За пять лет фонд оснащал медицинским оборудованием госпитали и больницы страны, организовал образовательные программы и стажировки докторов. Многие врачи – члены фонда – регулярно приезжают в Армению, помогая и обучая коллег, проводя операции, помогая организовать реабилитацию раненых во время войны в Арцахе.

Как в свою очередь отметил попечитель фонда «Вива Георгий» Мелконян, главный врач 4 городской больницы Москвы, фонд проводит большую работу по обучению специалистов, чтобы врачи в Армении, овладевая новыми техниками и методами лечения, могли самостоятельно применять их в работе с пациентами и оказывать высококачественную помощь, не нуждаясь в помощи зарубежных коллег.

В дни войны в Арцахе 26 врачей фонда работали в разных полевых госпиталях – в Гадруте, Степанакерте, Мартуни, Мартакерте, Горисе, Мегри, Капане. В их числе были торакальные и сосудистые хирурги, реаниматологи, медсестры, и работали они на протяжении всей войны, сменяя друг друга.

Также во время войны фонд оказал материальную помощь в размере 2 млн долларов, 38 больниц получили медицинское оборудование.

В настоящее время фонд насчитается уже более 5000 членов, в числе которых более 700 врачей.

Армения на грани: суверенитет или превращение в «Западный Азербайджан». Сурен Суренянц IDBank выходит на международный уровень: интервью Мгера Абраамяна для Los Angeles TimesЧто скрывается за «паузой» антицерковной кампании? «Паст»Сумма, выделенная правительством, покроет только часть расходов, а размер гонорара держится в секрете: «Паст»Растущая экономика за счет потребления и новые инфляционные риски: «Паст»Сюрпризы в избирательном списке «Просвещнной Армении»: «Паст»Предвыборная кампания раньше срока с превышением полномочий: «Паст»Партия Альянс обещает вернуть смертную казнь в АрменииЛариджани считает маловероятным обеспечение безопасности в Ормузском заливе в текущей ситуацииПутин: Переключить поставки ближневосточной нефти без Ормузского пролива нельзяЭкс-форвард сборной Армении Юра Мовсисян выпустил автобиографиюЛегендарная «Великолепная семерка» возвращается на экраны спустя 60 лет с Мэттом Диллоном в главной роли Премьер-министр Армении Никол Пашинян выступит в парламенте в СтрасбургеУдары США и Израиля по Ирану: главные события на Ближнем Востоке к утру 9 мартаСаудовская Аравия предупредила Иран о последствиях нападений на страны Персидского заливаПри поддержке Ucom состоится региональный молодежный форум «ДемАрДем: Диалог поколений» СМИ: Новая партия зерна из РФ прибудет в Армению транзитом через Азербайджан и ГрузиюСердечно поздравляю вас с 8 Марта — Международным женским днём. Зангезурского медно-молибденового комбинатаПоздравление лидера движения «Всеармянский фронт» по случаю Международного женского дня, 8 мартаДвижение «Нет “Западному Азербайджану”» приняло резолюцию и направило её политическим силам. TRIPP: кризис доверия и неопределённые перспективы. Сурен Суренянц Одной рукой дают, другой — забирают: «Паст»Дан старт «рисованию цифр»: где проводились опросы? «Паст»Почему Государственный симфонический оркестр Армении уклоняется от ответов на вопросы? «Паст»CNN: Трамп заявил, что его не беспокоит, станет ли Иран демократическим государствомДвижение «Нет “Западному Азербайджану”» организовало конференцию на тему: «Модели мира: гарантированный мир или “Западный Азербайджан”?»Катар предупредил о мировом кризисе и росте нефти до $150Стрельба на проспекте Баграмяна Еревана: Услышали звуки, выглянули в окно – никого не увиделиАльберт Паремузян – двукратный призер первенства России по джиу-джитсуИран заявил, что заранее предупредил страны Ближнего Востока, что базы США станут мишенямиНарек Карапетян: Мы создадим для сельчан пункты закупки по всей АрменииАзербайджан вывел воинские части на боевые позицииНовая акция в Yerevan Mall в преддверии 8 марта: Idram&IDBankUBPay и MoneyTO запустили переводы из Армении в Великобританию К весенним праздникам Ucom предлагает пакеты Unity на специальных условиях Начали перегружать суды с еще большей силой: «Паст»Армения в центре внимания авторитетного американского издания։ «Паст»Власти готовятся «нарисовать» цифры опросов: «Паст»Америабанк стал первой армянской компанией, включённой в список 100 крупнейших компаний Лондонской фондовой биржи, в составе Lion Finance GroupСурен Суренянц: «Не усилим границы с Ираном - впустим 30 миллионов азербайджанцев»Они хотят, чтобы мы исчезли․ Сурен СуренянцНа пограничном пропускном пункте Армения – Иран километровые очереди из грузовиковIDBank расширяет преимущества путешествий для обладателей премиальных картБесплатные звонки и SMS-сообщения от Ucom для абонентов, находящихся на Ближнем ВостокеМахмуд Ахмадинежад жив – телеграм-канал ColonelcassadАзербайджанцы построили укрытия вблизи границы, чтобы контролировать наши села — Арман ТатоянДепутаты парламента Армении одобрили ряд законодательных поправок к действующим законамИран сообщил о поражении американского эсминцаСрочная пресс-конференция Армана Татояна по вопросам безопасностиИзраиль собирается нанести удары по 16 селам и городам Ливана